Digital Intelligent Pathology AI Assisted Diagnosis System
The pathology image artificial intelligence auxiliary system is a product of the interdisciplinary integration of medical big data analysis and artificial intelligence deep learning algorithms.
The system has successfully constructed a full-chain automated auxiliary diagnostic platform integrating screening and identification, precise diagnostic suggestions, and standardized reports, which comprehensively improves the diagnostic efficiency and accuracy of pathologists.
| Category | Detection Items |
|---|---|
| Cytology | Cervix, Thyroid, Urine, Pleural/Peritoneal, Salivary Gland |
| Histology | Esophageal Biopsy, Gastric Biopsy, Intestinal Biopsy, Cervical Biopsy, Endometrial Biopsy, Mammary Gland |
| Immunohistochemistry | Ki-67, PD-L1, ER/PR, HER2, CD138/MUM1, MCM2/4/7 |
| Pan-Cancer | SLNB, Gastric, Bladders, Prostate Gland, Pan-cancer |


Cervical Cytology Assistant Diagnostic Module: Automatic recognition of 15 cell types. Validated by multi-center clinical trials: sensitivity ≥ 95%, specificity ≥ 85%.


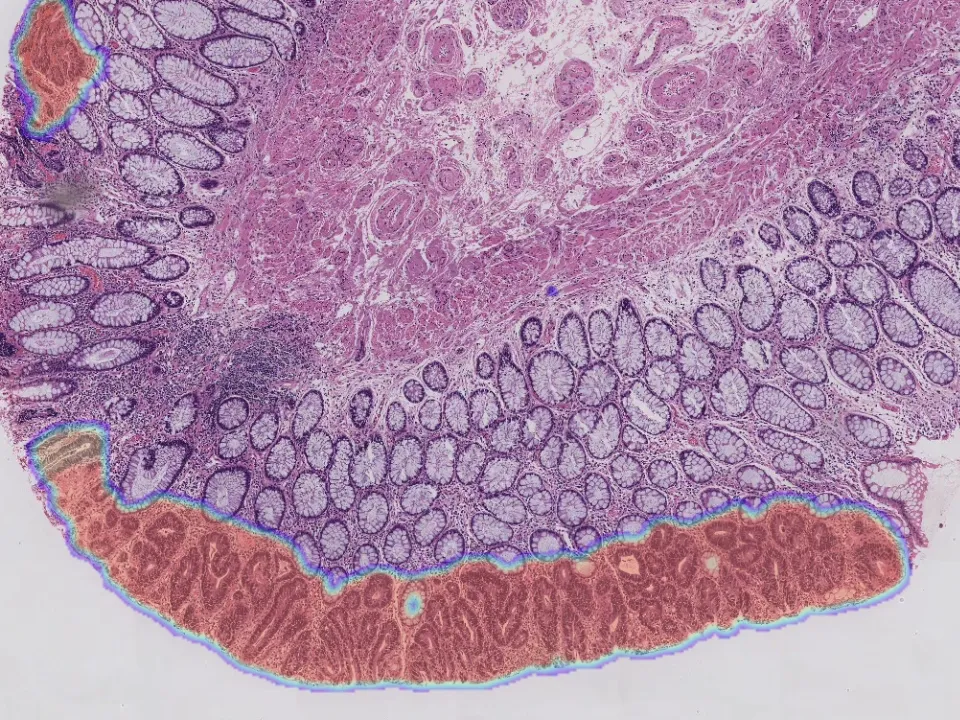
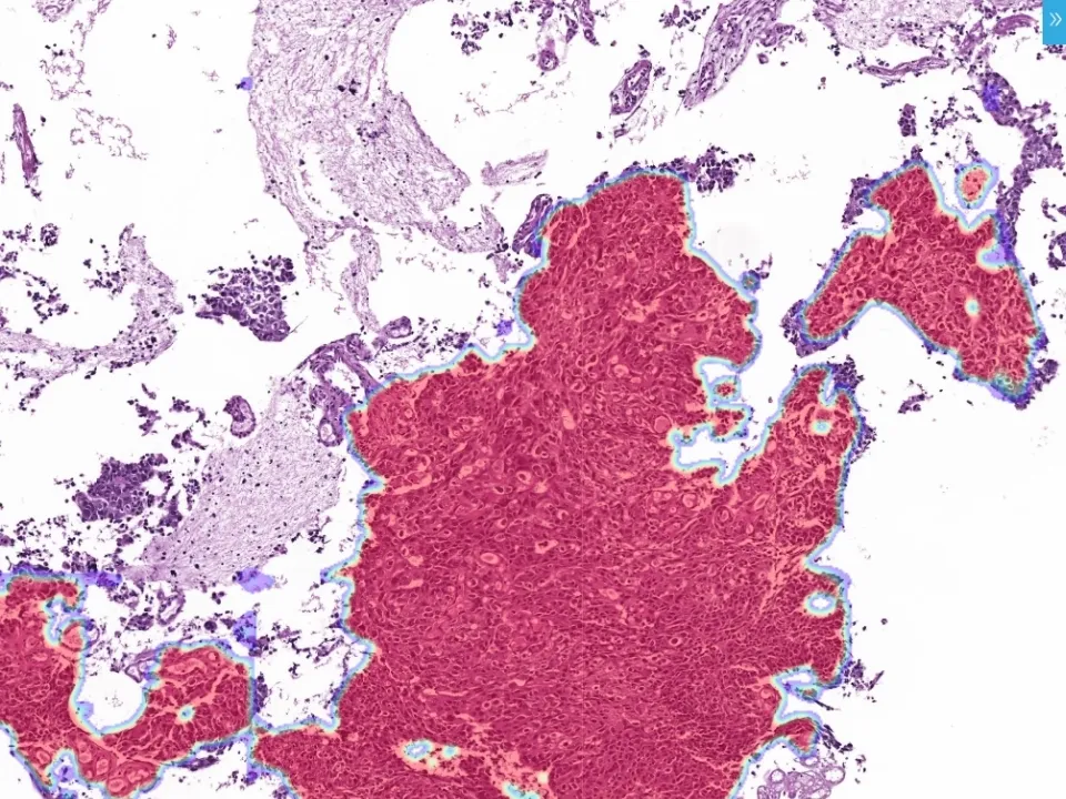
Gastric & Intestinal Biopsy Modules: Efficient identification of tissue structural changes and cellular abnormalities. Automatically recognize lesion types covering more than 95% of common cases.



Immunohistochemistry Assistant Analysis: Algorithm intelligently segments the effective area for cell counting. High concordance with pathologist interpretation (accuracy > 0.94).


This high-tech innovative healthcare provider is equipped with robust AI computing power and big data platforms. The company is dedicated to providing AI-driven digital healthcare services and intelligent solutions for global healthcare. Expertise covers clinical care, rehabilitation, and In Vitro Diagnostics (IVD) fields, delivering cutting-edge solutions for neurosurgical brain-computer interfaces, AI-powered rehabilitation robots, and pathological auxiliary diagnosis.


