The pathology image artificial intelligence auxiliary system is a product of the interdisciplinary integration of medical big data analysis and artificial intelligence deep learning algorithms.
The system has successfully constructed a full-chain automated auxiliary diagnostic platform integrating screening and identification, precise diagnostic suggestions and standardized reports, which comprehensively improves the diagnostic efficiency and accuracy of pathologists.
| Category | Detection Items |
|---|---|
| Cytology | Cervix, Thyroid, Urine, Pleural/Peritoneal, Salivary Gland |
| Histology | Esophageal Biopsy, Gastric Biopsy, Intestinal Biopsy, Cervical Biopsy, Endometrial Biopsy, Mammary Gland |
| Immunohistochemistry | Ki-67, PD-L1, ER/PR, HER2, CD138/MUM1, MCM2/4/7 |
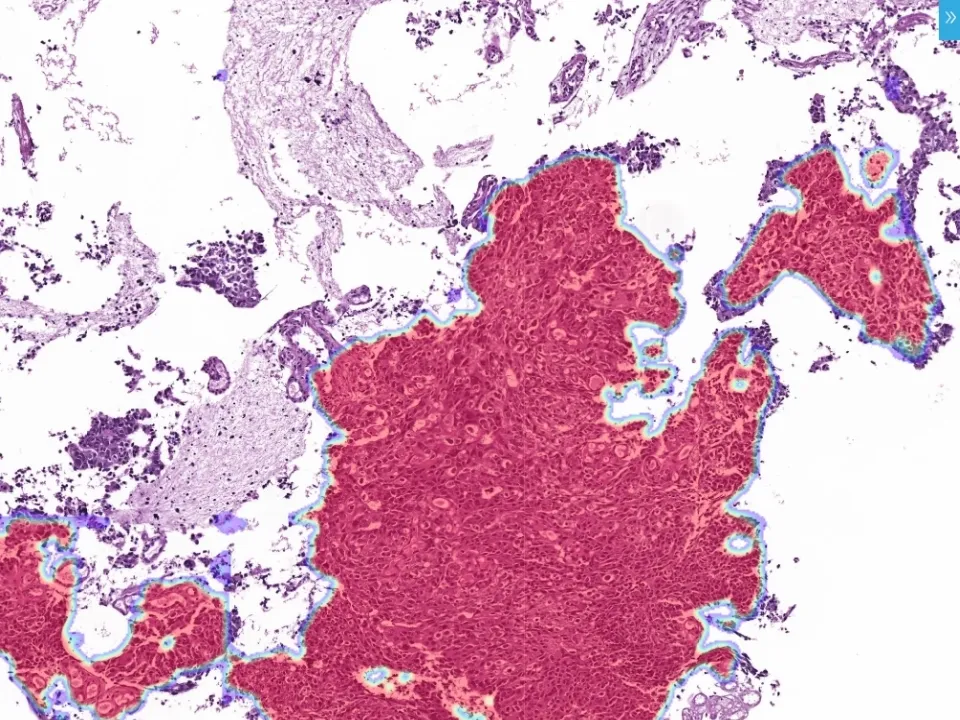
| Pan-Cancer | SLNB, Gastric, Bladders, Prostate Gland, Pan-cancer |
Cervical Cytology Module
Thyroid Cytology Module
Cervical Cytology Assistant Diagnostic Module: Automatic recognition of 15 cell types. Sensitivity ≥ 95%, specificity ≥ 85%. Whole slide analysis with TBS standard report.
Thyroid Cytology Assistant Diagnostic Module: Automatic recognition of 6 cell types. High-speed analysis for improved efficiency. Sensitivity ≥ 95%, specificity ≥ 90%.
Hydrothorax & Ascites Module
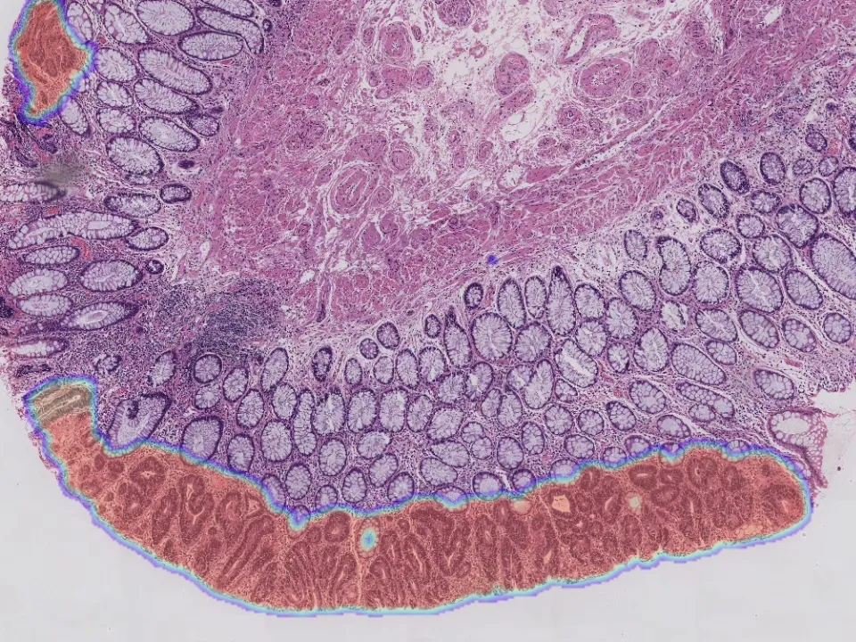
Gastric Biopsy Module
Hydrothorax and Ascites Cytology Module: Automatic recognition of malignant tumor cells. Sensitivity ≥ 96%, specificity ≥ 90%.
Gastric Biopsy Assistant Diagnostic Module: Automatically recognize eight lesion types, covering more than 95% of lesion types. Efficient identification of tissue structural changes.
Intestinal Biopsy Module
Cervical Biopsy Module
Endometrial Biopsy Module
Immunohistochemistry Module
Immunohistochemistry Assistant Analysis: Intelligent cell counting and area segmentation. High concordance with pathologist interpretation (accuracy > 0.94).
Endometrial Biopsy Module: Fusion of high and low magnification models to discriminate tissue structural changes. Rapid localization of lesions.
We are a high-tech healthcare innovator equipped with robust AI computing power and big data platforms. We are dedicated to providing AI-driven digital healthcare services and intelligent solutions for global healthcare.
Our expertise covers clinical care, rehabilitation, and In Vitro Diagnostics (IVD), with a focus on delivering cutting-edge solutions spanning surgical procedures, AI-enhanced pathological auxiliary diagnosis, and life sciences.


